

My Story
I'm Dr. Anas Ali, also known as Dr. GumZ, a specialist in periodontal treatment and plastic Gumz surgeries.
Your teeth rely on healthy bones and Gumz to stay in place, and that's where I come in. I was born and raised by two wonderful dentists who inspired me to follow in their footsteps, and I've been a dedicated practitioner since 2015.
I offer unique solutions that go beyond what ordinary dentists provide. From treating deep Gumz pockets and eliminating bad breath caused by Gumz issues to performing plastic Gumz surgeries.
I strive to enhance both the health and appearance of your smile.
As a certified Implantologist, My expertise also includes bone augmentation and dental implants and the prosthesis (Crowns, Bridges) that follows.
I have a keen eye for the art of “Natural Veneers” and as a smile expert i include the best treatments options and highest technical equipment’s to come up with a treatment plan that is tailored to each patient individually.
I invite you to click on the Studio tab to see my work.



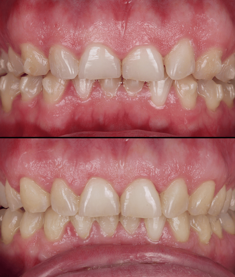
Studio




































Professional Experience
With a wealth of cases and patients, I have extensive personal work experience as a periodontist.
Experience
Dedicated Periodontist with Expertise
Bringing specialized care to patients with a focus on periodontal health and treatment.
Expertise in Periodontics
Experience. With our intuitive design and user-friendly interface, your website will captivate visitors. 2
Experienced Periodontist with Dedicated Care
Dr. Gumz, a skilled periodontist, specializes in treating a variety of cases and patients with personalized care and expertise.
About Dr. Gumz
With a focus on patient satisfaction and successful outcomes, Dr. Gumz is committed to providing top-notch periodontal care for all individuals.
Expert Periodontal Treatments
Specializing in advanced periodontal care for patients with complex cases and unique needs.
Comprehensive Treatment Plans Available
Our team creates personalized treatment plans to address each patient's specific periodontal concerns and goals.
State-of-the-Art Technology
We utilize cutting-edge technology to provide the most effective and efficient periodontal treatments for our patients.





